Precision-Based Fertility Treatment for Male Infertility

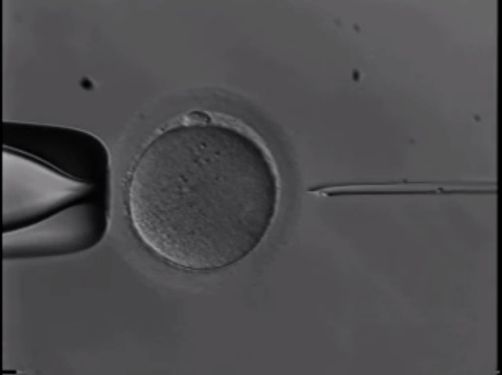
Intracytoplasmic Sperm Injection (ICSI) is an advanced fertility procedure used in conjunction with In Vitro Fertilization (IVF) to treat severe male infertility. In this technique, a single, high-quality sperm is directly injected into an egg, increasing the chances of successful fertilization. ICSI is recommended for couples dealing with low sperm count, poor sperm motility, abnormal sperm shape, or previous IVF failures. This procedure offers hope to many aspiring parents by significantly improving fertilization rates, even in complex infertility cases. Start your journey toward parenthood with expert-guided ICSI treatment – Book a consultation today!


Need Assistance? Get in Touch

If you have any questions before your appointment or need any help, call us at +91 83759 15939.

Top